Kto nie marzy o pięknych białych zębach, które innych wprawiają w podziw? Już dziś sprawdzone rozwiązanie leży w zasięgu ręki. Dzięki w niewielkim stopniu inwazyjnej, estetycznej metodzie pokrywania zębów płatkami porcelany można osiągnąć ogromna zmianę wizerunkową. Przy współpracy zespołowej z technikiem projektujemy licówki, dzięki którym uśmiech, o jakim marzy pacjent, jest dla niego osiągalny. Za pomocą licówek korygujemy kształt zębów, ich kolor, zamykamy diastemy. Jest to praca bardzo estetyczna, a jednocześnie oszczędna dla tkanek, gdyż szlifuje się tylko niewielki fragment szkliwa. Dzięki nowoczesnym metodom znieczulenia miejscowego, zabieg może być dla pacjenta całkowicie bezbolesny. Gabinet Dentysta Szczecin.eu jest miejscem, gdzie osiągniesz uśmiech marzeń.
Licówki na zęby są niezwykle częstą formą leczenia stomatologicznego, uznawaną za podstawę stomatologii estetycznej. W wielu przypadkach pozwalają na osiągnięcie niespodziewanych, niesamowitych wręcz efektów, które w dużym stopniu wpływają na poprawę samooceny pacjentów i zwiększają ich pewność siebie.

Spis treści
- Licówki Szczecin – piękny uśmiech na wyciągnięcie ręki
- Na czym polega zakładanie licówek?
- Licówki porcelanowe Szczecin
- Licówki porcelanowe – dla kogo są przeznaczone?
- Licówki kompozytowe Szczecin
- Licówki kompozytowe - zalety
- Zalecenie po założeniu licówek na zęby
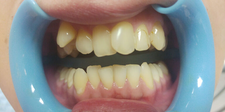
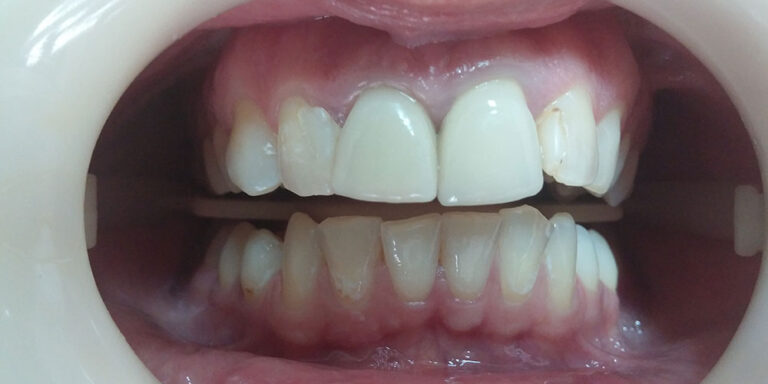
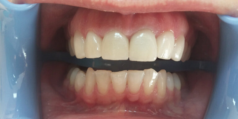
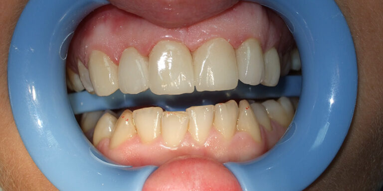
- Metamorfozy
- Opinie
- Kontakt
Licówki Szczecin – piękny uśmiech na wyciągnięcie ręki
W naszym gabinecie proponujemy pacjentom najlepsze, wielokrotnie sprawdzone rozwiązania, dlatego w ofercie posiadamy licówki na zęby.
Dzięki nim możliwie jest uzyskanie perfekcyjnego, filmowego uśmiechu rodem z Hollywood. Licówki to cienkie płatki porcelany lub kompozytu, które idealnie korygują drobne przebarwienia, nierówności czy przerwy.
Licówki porcelanowe są wytrzymałe i odporne na uszkodzenia, z kolei zakładanie licówek kompozytowych bez szlifowania nie wymagają ingerencji w szkliwo zęba.
Na czym polega zakładanie licówek?
Płatki porcelany lub kompozytu przyklejane są do przedniej ściany zęba, maskując w ten sposób wszelkiego rodzaju przebarwienia i niedoskonałości oraz poprawiając w znaczący sposób estetykę uśmiechu.
Założenie licówek poprzedza rozmowa z pacjentem, w trakcie której lekarz stomatolog poznaje wszelkie oczekiwania pacjenta co do ostatecznego rezultatu zabiegu oraz pozostaje otwarty na różnego rodzaju sugestie.
Przed zabiegiem zakładania licówek wykonujemy zdjęcie RTG, po którym następuje, jeżeli jest to konieczne, szlifowanie powierzchni licowej zębów. Metoda ta wbrew pozorom nie jest inwazyjna i skutecznie poprawia uśmiech pacjenta, zwiększającym tym samym jego komfort psychiczny.
W niektórych przypadkach założeniu licówek kompozytowych towarzyszyć może zabieg bondingu zębów polegający na rekonstrukcji zębów przy wykorzystaniu kompozytów. Zabieg ten nie narusza szkliwa zębowego i przynosi bardzo zadowalające efekty.
Licówki porcelanowe Szczecin
Licówki porcelanowe to niezwykle cienkie płatki porcelany nakładane na przednią ścianę zęba. Ich niewątpliwą zaletą jest bez wątpienia estetyka wykonania – mogą być one ściśle spersonalizowane i dostosowane do potrzeb pacjenta.
Występują one w różnych kolorach i kształtach. Nasi stomatolodzy dokładają wszelkich starań, aby dobrać najodpowiedniejszy dla pacjenta ich rodzaj. Przez to, że są niezwykle cienkie, nie sprawiają wrażenia sztuczności.
Licówki porcelanowe mimo swojej niewielkiej grubości są bardziej wytrzymałe od szkliwa zębów. Pacjent powinien jednak zachować ostrożność w trakcie spożywania twardych pokarmów, które mogłyby je uszkodzić. Ostrożność i właściwa profilaktyka jamy ustnej sprawia, że licówka tego typu wytrzymać może od 5 do 10 lat.

Licówki porcelanowe – dla kogo są przeznaczone?
Ten rodzaj licówek to doskonałe rozwiązanie dla osób mogących się poszczycić zdrowymi zębami i dziąsłami. Nie są zalecane dla osób posiadające zęby rozchwiane, uszkodzone przez paradontozę. Licówka porcelanowa jest też często jedynym sposobem na pozbycie się szczególnego typu przebarwień, a także ratunkiem dla zębów uszkodzonych mechanicznie lub krzywych.
Licówki kompozytowe Szczecin
Licówka kompozytowa wykonywana jest z materiału kompozytowego, który służy do wypełniania ubytków w zębach. Nie jest tak wytrzymała jak licówka porcelanowa, do jej zalet należą za to niższa cena i łatwość wykonania. Może być także traktowana jako licówka tymczasowa, poprzedzająca zakładaną w przyszłości licówkę porcelanową.
Licówkę kompozytową wykonuje się po dokładnym zbadaniu przez lekarza stomatologa jamy ustnej pacjenta – jego dziąsła muszą być zdrowe, a zęby nie mogą być dotknięte paradontozą.
Licówka kompozytowa może zostać założona w trakcie jednej wizyty w gabinecie stomatologicznym, ponieważ wykonywana jest bezpośrednio w jamie ustnej pacjenta. Przed zabiegiem pacjent dokonuje personalizacji licówki – określa jej kolor i kształt.
Licówki kompozytowe – zalety
Zaletą licówki kompozytowej jest fakt, że zęby nie wymagają wcześniejszego szlifowania. Ich powierzchnia jest natomiast wytrawiana specjalnym kwasem.
Po jego wypłukaniu stomatolog korzysta z łączącego zęby z wypełnieniem bondu i materiału kompozytowego, który systematycznie nakłada warstwa po warstwie, aż do uzyskanie zadowalającego go rezultatu. Uznaje się, że wytrzymałość licówki kompozytowej jest mniejsza niż licówki porcelanowej i jej trwałość wynosi od 2 do 5 lat.
Zalecenie po założeniu licówek na zęby
Po założeniu każdego rodzaju licówek należy pamiętać o zbilansowanej diecie i utrzymywaniu prawidłowej higieny jamy ustnej. Doświadczeni stomatolodzy w gabinecie Dentysta Szczecin.eu podpowiedzą, jak obchodzić się z nimi tak, by jak najdłużej pełniły swoją funkcję!
Masz pytania dotyczące zabiegu?
Chcesz poznać szczegóły leczenia lub jego koszt?
Skontaktuj się z naszą rejestracją – z przyjemnością udzielimy Ci wszystkich potrzebnych informacji.
 
 
 
 
 
 
 
 
 
 
 


