Metamorfozy

Odmień uśmiech
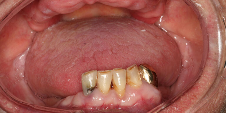
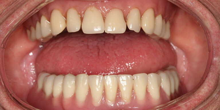
Metamorfozy stomatologiczne to kompleksowy proces, który pozwala na całkowitą zmianę wyglądu i funkcji zębów pacjenta. Dzięki zaawansowanym technologiom i indywidualnemu podejściu, możemy przekształcić nawet najbardziej zniszczone uzębienie w piękny i zdrowy uśmiech.
W ramach metamorfoz stomatologicznych przeprowadzamy szereg zabiegów, takich jak wybielanie zębów, korekta kształtu i koloru za pomocą licówek, a także odbudowa brakujących zębów za pomocą implantów i koron. Każdy etap metamorfozy jest dokładnie planowany i realizowany z najwyższą precyzją, aby efekt końcowy był nie tylko estetyczny, ale także trwały i funkcjonalny.


